Είχε έντονες ημικρανίες και πήγε στον γιατρό – Όταν εξέτασαν τον εγκέφαλό του έπαθαν σοκ με αυτό που αντίκρισαν

Ένας 52χρονος άνδρας από τη Φλόριντα, που νόμιζε ότι υπέφερε από σοβαρές ημικρανίες, στην πραγματικότητα πάλευε με ένα σκουλήκι-παράσιτο, γνωστό ως ταινιοσκώληκα (tapeworm), στον εγκέφαλό του, κάτι που προκλήθηκε από την κατανάλωση μισοψημένου μπέικον.
Ο ανώνυμος ασθενής, η περίπτωση του οποίου μπήκε πρόσφατα στο American Journal of Case Reports, παραπονιόταν για επιθετικούς πονοκεφάλους επί τέσσερις μήνες μετά την κατανάλωση του τροφίμου.
Οι ειδικοί δήλωσαν ότι η «μακροχρόνια/διαρκής προτίμηση του ανθρώπου αυτού για το μαλακό μπέικον» δεν ήταν η μοναδική αιτία της συγκεκριμένης, παράξενης πάθησης.
Απ’ ό,τι φαίνεται, το αγαπημένο του πρωινό είχε χαλάσει, καθώς το μπέικον (ή και όλο) δεν ψήθηκε αρκετά, δημιουργώντας στον άνδρα σοβαρά προβλήματα.
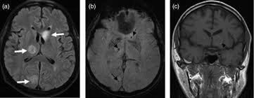
«Το αποτέλεσμα ήταν η νευροκυστικέρκωση, ο επιστημονικός όρος για ένα παράσιτο που γεννά αυγά τα οποία μολύνουν πολλές περιοχές του σώματος. Μάλιστα, η νευροκυστικέρκωση μπορεί να είναι μεταδοτική», όπως μεταδίδει η New York Post.

«Είναι ιστορικά πολύ ασυνήθιστο να συναντήσει κανείς μολυσμένο χοιρινό κρέας στις Ηνωμένες Πολιτείες και η περίπτωσή μας μπορεί να έχει επιπτώσεις στη δημόσια υγεία», έγραψαν οι ερευνητές.
Σύμφωνα με τα αμερικανικά Κέντρα Ελέγχου και Πρόληψης Νοσημάτων (Centers for Disease Control and Prevention – CDC), εάν τα άτομα που έχουν προσβληθεί δεν πλένουν σχολαστικά τα χέρια τους μετά την κένωση του εντέρου, μπορούν να μεταδώσουν τα αυγά σε άλλα μέλη του νοικοκυριού τους, ιδίως μέσω των τροφίμων.
Τα CDC αναφέρουν ότι η ασυνήθιστη πάθηση εξακολουθεί να οδηγεί σε νοσηλεία περίπου 1.000 άτυχους Αμερικανούς ετησίως.

Σε αυτή την περίπτωση, μαζί με το πρήξιμο, ο ασθενής ανέπτυξε κύστες και στις δύο πλευρές του εγκεφάλου του. Διαπιστώθηκε αργότερα ότι ήταν ο ταινιοσκώληκας, που είχε εναποθέσει αυγά μέσα στον εγκέφαλο του άνδρα.
Του χορηγήθηκε θεραπεία με το φάρμακο αλβενδαζόλη, η οποία οδήγησε σε βελτίωση δύο εβδομάδες αργότερα.
ΠΗΓΗ : athensmagazine.gr
Η σελίδα αποποιείται κάθε ευθύνη από τις αναδημοσιεύσεις άρθρων τρίτων ιστοσελίδων, για τα οποία (άρθρα) την ευθύνη την έχει ο υπογράφων ως πηγή.
